阿姨這次來的主訴有兩個,第一是四天前,她的腰痛舊傷復發了,主要是由起床時,由躺而坐這個動坐會痛,但走路時不會痛,偶爾還會抽筋;第二是她前幾天突然出現蕁麻疹,全身到處紅疹發癢,不確定是吃到什麼食物造成過敏,非常困擾。
治腰痛,這個是肌筋膜脈學的小菜一碟。阿姨上次來診已經是二年前了,他說她現在搬到三峽去了。那我們當然要拿出最好的治療,不負她長途奔波,從三峽跑到東門一躺。在 仔細研究脈象後,發現在左關後的脈象有斷續現象,請阿姨趴在床上,對腰臀區進行理學檢查,找到了右側的舊傷。決定使用本診所的絕招「超音波導引針刺」來處理。
「醫生等一下,我痛的是左邊啊?」
「阿姨是這樣的,你的右邊是舊傷,受傷之後右側的豎脊肌就沒在工作,所以一直以來,可能已經好幾年了,你都是靠左側的豎脊肌在支撐身體。現在的狀況,就是左側的豎脊肌已經過勞,所以在抗議你才痛起來的。」
「就像一間公司有同事一直請假沒來上班,害的加班的同事做到唉唉叫,這時候該做的是把那個請假的同事叫回來,而不是去針那個加班的同事啊!」
「所以我們不會針你在痛的位置喔!要針沒有在痛的地方才對!」
「喔~~~」自以為生動的比喻,但也不知道阿姨到底有沒有聽懂,反正我們繼續進行治療就是了。
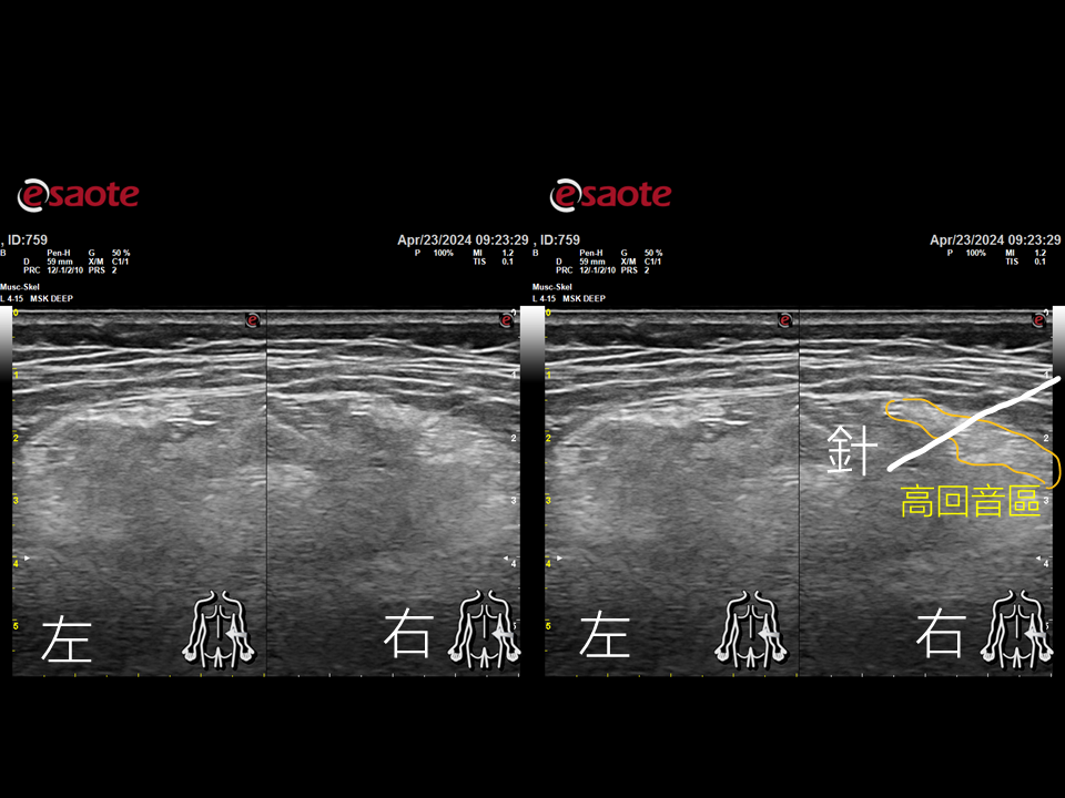
把超音波探頭放上去以後,哇哇哇~~~看到豎脊肌的表層筋膜有一大區塊出現了高反音反應。這個應該是之前有蠻嚴重的撕裂傷或發炎,在長時間的修復過程中造成的肌筋膜的纖維化甚至鈣化反應。通常這種纖維化的肌筋膜,會造成肌肉沾黏,使得肌肉無法正常的收縮,無法參與身體活動,難怪請假請那麼久,原來是被黏在家裏了。
這個程度的組織太過堅韌,不是針灸針可以處理的,(太細太軟是xx的通病)。於是改用針刀,利用針刀的尖端對纖維化組織進行切割。因為是在超音波下操作,目標又是皮下和肌肉中間的筋膜組織。阿姨幾乎沒有感受到(針刀造成的)疼痛。治療結束後,從治療床上坐起來已經不痛了,右邊豎脊肌澎起來了,左邊的豎脊肌緊繃現象也消失了,再把一次脈,左關尺和右尺部已經恢復正常,代表下盤的力量整個都回來了。
一周後阿姨回診了,非常開心,說腰痛緩解8成。
「那蕁麻疹呢?你有乖乖吃藥嗎?」
「醫生我跟你講,很神奇喔!我從你診所針灸完,離開以後只吃了一包藥粉,蕁麻疹就都沒有再發作了喔!你這個藥粉真的很厲害!」
是……這樣嗎?可是我怎麼記得皮膚的藥我是開在煎劑裏的(清營湯)?搔著我的腦袋瓜,點開病歷一看:藥粉是「身痛逐瘀湯」早晚5g,哇咧!這是治療疼痛的藥啊~~理論上不可能醫好蕁麻疹,而且才吃1包!
難道是:針灸解開內傷的同時,就順便不小心治好了蕁麻疹?
討論
這個舊傷是怎麼來的呢?阿姨在2017年曾經有嚴重的下背挫傷,困擾了好幾個月,應該在那之後,隨著肌肉的受損和疤痕的增生,右側的豎脊肌漸漸失去功能,而一直靠著左側的豎脊肌在支撐身體的重量。左側豎脊肌長期過勞的狀況下,終於……爆掉了。
這個病例最有趣的地方,在於腰痛和蕁麻疹幾乎是同時出現又同時消失,讓人不禁懷疑這兩者的關係?通常全身性蕁麻疹,是因為身上存在有一個特殊過敏原,或是某處發炎所引發的連續性反應,最後變成免疫系統的混亂。照這樣說來,搞不好腰部肌肉組織最近的發炎,就是發炎的源頭,所以在肌肉得到處理之後,發炎的源頭消失;蕁麻疹也就跟著消失了。
這就是肌筋脈學治腰痛,結果不小心治好了蕁麻疹的故事。
脈象給我們的指引常常是身體隱藏許久的實質內傷,如果能針對這個內傷進行高度修復,往往可以帶來意想不到的效果呢!




